“乳突有效治疗术”祛除中耳炎乳突炎,遏制听力下降
当得知自己患上中耳乳突炎的时候,很多时候患者自身并不是了解这个疾病。现在西安中大耳鼻喉医院医生解释:乳突炎常继发于中耳炎,引起乳突粘膜充血及水肿,分泌物增多。继续发展可破坏气房间隔,甚至破坏乳突骨壁而向颅内、外穿破。乳突炎转为慢性后,乳突内充满肉芽和脓液,破坏骨质,刺激新骨增生,当鼓膜穿破后,外耳道上皮长入中耳及鼓窦,部分上皮坏死及变性后,形成胆脂瘤。
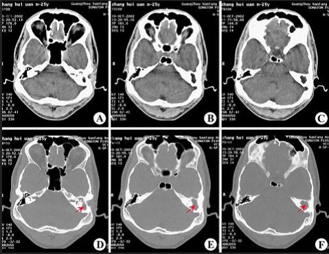
CT显示:左侧慢性中耳乳突炎(胆脂瘤型)
目前,临床治疗推荐采用【乳突有效治疗术】配合鼓室成形术治疗中耳炎乳突炎。“乳突有效治疗术”是一种可以高效治疗中耳病灶和重建鼓室传音结构的手术。该手术是在显微镜下通过耳显微器械去除病变,同时修复鼓膜及重建听骨链,清除病灶,以达到提高听力的目的。
与医生沟通中耳乳突炎病情,以确定好治疗方案。
“乳突有效治疗术”手术方法治疗中耳炎乳突炎
一般步骤与传统乳突有效治疗术相同,但根据病变程度不同有所变化。对于病变局限于上鼓室者,凿入鼓窦后可用小圆凿或电钻,由鼓窦入口外侧向前,除去上鼓室外侧壁至接近前壁为止,充分开放上鼓室,以小刮匙或细弯针将鼓窦入口外侧向前,除去上鼓室外侧壁至接近前壁为止,充分开放上鼓室,以小刮匙或细弯针将鼓窦入口及上鼓室病变组织或胆脂瘤完全清除。
详细了解手术过程,可直接咨询在线咨询…
西安中大耳鼻喉医院的“乳突有效治疗术”可更高效治疗中耳炎及并发症,修复听骨链,重建听力,并且对患者的伤害很小,该方法的诞生为耳病患者带来了健康的福音,解决了治疗中耳炎难治难消的顽疾,获得了众多治疗患者的高度好评。
首席手术医生:
美国明尼苏达中耳炎科研中心医生——张全安教授简介
在线咨询,如何治疗中耳乳突炎?
主要职务
★原耳鼻咽喉科主任
★
★美国明尼苏达中耳炎科研中心医生
★西安中大耳鼻喉医院耳病诊疗中心耳外科学科带头人
与美国明尼苏达耳鼻咽喉头颈外科主任Adama教授合影
个人简历:
1967年毕业于,从事耳鼻咽喉科临床、科研和教学工作40余年,积累了丰富而全面的临床经验,期间担任西安耳鼻咽喉科主任,;发表中、英文论文50余篇;获省市一、二等科技进步奖多项。1993年以来,以高级访问学者身份多次赴美从事科研和学术交流长达5年多;其中参与美国明尼苏达中耳炎研究中心进行中耳炎病理研究,所提出的一系列中耳炎理论居世界前沿水平,领先地位。
特别提醒:张全安教授受中央电视台邀请参加CCTV《名家访谈》节目,在与主持人阿丘深入探讨耳病诊疗之道后,目前已返回西安。他们将立即投入到为广大耳病患者诊疗工作中。【点击观看视频】
需要咨询预约张教授的患者朋友,可拨打医生热线:029-87401000或点击【在线咨询】即可预约挂号。
看完这篇文章您的感受是:
-
祈祷
1人
-
难过
1人
-
担忧
1人
-
震惊
1人
-
有帮助
1人
-
不解
1人
医生提示:以上文字的阐述只是大概,如您有疑问,请点击“免费在线咨询”,或者拨打我院健康咨询热线:029-87401000,免费专线:029-87401000,在线医生会为您提供专业的诊疗意见和就医指导
咨询医生






